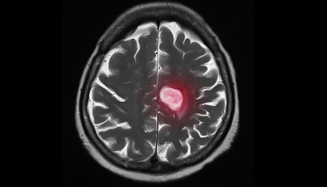
Research Highlight: Preventing Breast Cancer Brain Metastasis

National Foundation for Cancer Research-funded researcher Dr. Daniel A Haber recently unearthed an exciting discovery that may add years to the lives of late-stage breast cancer patients.
Dr. Haber is fascinated by understanding drug resistance on a deeper level by studying individual tumor cells in patients’ blood. In December 2020, Dr. Haber and his team shared their exciting findings on how brain metastasis, or the spread of cancer to the brain, may be prevented.
Brain metastases occur in about 10% of all patients with cancer and in as many as a third of women with advanced metastatic breast cancer. Though experts have made great strides in suppressing the spread of cancer, there is still little known about the cellular pathways that enable cancer cells to selectively grow in the brain; that is, until Dr. Haber and his research team identified a signaling pathway that appeared significantly more active in brain metastases from breast cancer.
“We were looking for what properties of some breast cancer cells made it possible for the cells to grow in the brain, which is a rare but often deadly complication of breast cancer,” Dr. Haber explained. “We weren’t sure what we would find. In a way that’s what makes the discovery process so exciting.”
The research commenced approximately 10 years ago while investigating circulating tumor cells (CTCs). As their research progressed, the team homed in on a specific signaling pathway named HIF1A. Using cells from women with breast cancer, the team observed how these cells acted in animal models. It was discovered that if HIF1A was suppressed, the rate of proliferation (or rapid growth) was reduced. Simply put, blocking the HIF1A signaling pathway could reduce the rate of brain metastasis or even prevent it altogether.
“HIF1A is not specific to brain metastasis, since it’s a very broadly activated pathway in many cancers,” Dr. Haber began. “However, it appears to be more active in brain metastases from breast cancer than in primary breast cancers, and that may help explain what makes these metastases to the brain so unique and so difficult to treat.”
The pathway identified in this research is already well known in the cancer world, however its special relevance to the brain was not known until now. Theoretically, a drug could be developed to suppress HIF1A and, in turn, prevent the spread of cancer. While a very promising discovery, Dr. Haber explains that there is far more work to be done.
“There are a few HIF1A suppressing drugs now being tested in clinical trials for other indications,” Dr. Haber said, “However, we would have to expand this to multiple different models and systems before we could contemplate an intervention.”
In regard to the length of time it takes to have a discovery such as this transitioned to mainstream treatment, Dr. Haber explains that it “depends on the discovery, its potential applications, and some ‘luck’.”
While the process from discovery to clinical treatment is getting faster all the time, it is likely going to take five to ten years before this finding is implemented into treatment. As for Dr. Haber, he has already planned plenty of work for himself and his team.
“We remain keenly interested in why breast cancer cells that are spreading through the bloodstream (CTCs) are able to grow in some organs and not others, and why they sometimes stay dormant for a long time, before suddenly starting to grow and giving rise to a cancer recurrence – often years after the initial breast cancer was removed,” Dr. Haber shared. “Much of our research is focused on breast CTCs that we were able to isolate from the blood of patients with cancer, culture and expand for study in the lab, and that we can now subject to genetic and therapeutic studies.”
Learn more about the work of Dr. Haber and other NFCR-funded scientists on our website, www.nfcr.org. To help drive further advancements in cancer research, please consider a generous donation today.
Sign-up to Stay Informed About Cancer Research Breakthroughs with NFCR!
Additional Reads You May Enjoy:
A world without cancer is possible. Help us turn lab breakthroughs into life-saving realities.

5.7 Million+
Donors who have fueled NFCR’s mission

$420 Million+
Invested in high-impact research & programs

36+ Labs & Hundreds of
Nobel Laureates & Key Scientists received NFCR funding, driving breakthrough research










