Rare Disease Day: Sarcoma

Rare Disease Day falls on the last day of February each year, raising awareness to support the millions of people worldwide who are suffering from nearly 7,000 different types of rare diseases.
In the United States, a disease falls into the ‘rare disease’ category when it affects fewer than 1 out of every 200,000 people, reaching an estimated 25-30 million Americans.
Rare diseases are difficult to diagnose and even more difficult to treat. For many years, pharmaceutical companies did not take an interest in researching solutions for rare diseases because the return on investment helped so few people. Therefore, the United States government passed the Orphan Drug Act of 1983 to financially incentivize the development of treatment for rare diseases, including rare cancers.
Rare Cancer: Sarcoma
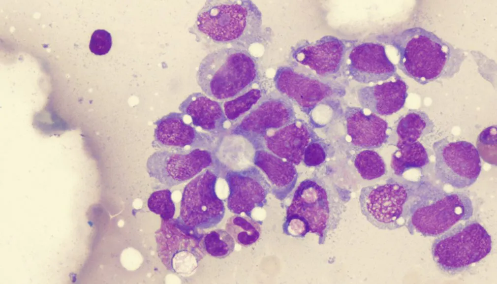
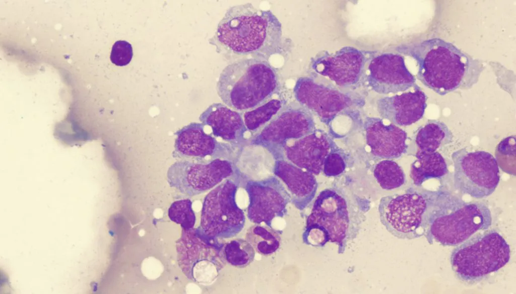
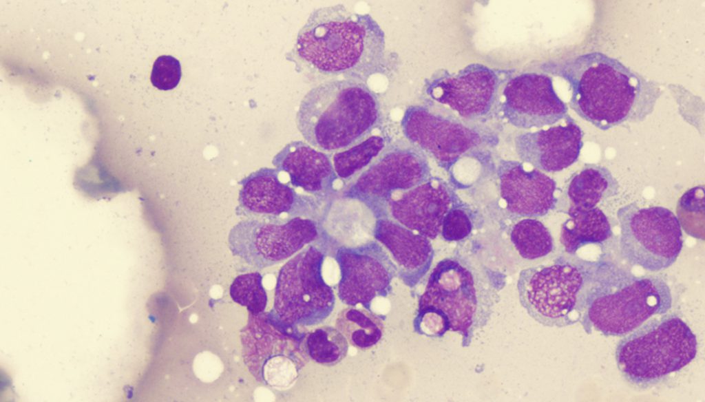
Rare cancers, such as sarcoma, also receive attention on Rare Disease Day. Sarcoma is so rare that it represents only approximately 1% of all new cancer diagnoses, and just 16,000 patients are diagnosed in the United States each year.
Sarcoma is cancer of the connective tissue, so it is found in the bones, fat tissue, cartilage or muscles. This is different from carcinoma, which is cancer found in an organ or gland, such as the breast or prostate.
Sarcomas are divided into two subtypes: bone sarcoma and soft tissue sarcoma, with soft tissue sarcoma being the most prevalent. However, these two subtypes have approximately 70 different classifications combined. This makes sarcoma a very complex cancer to treat.
Treatment of Sarcoma
Sarcoma is typically treated with a combination of surgery, radiation, and chemotherapy, but there is sometimes a risk of the sarcoma reappearing somewhere else in the body.
With recent advancements in research, however, new treatments in immunotherapy are providing hope for sarcoma patients. Adoptive T cell therapy is particularly gaining traction due to its ability to modify the patient’s own T cells to seek out and attack molecules found on the cancer cells.
Promising Research
Advancements in immunotherapy provide hope to sarcoma patients, but treating this cancer still requires a tremendous amount of guesswork due to the many different classifications.
Rare Disease Day reminds us of the important mission of organizations like the National Foundation for Cancer Research. Together, we can support groundbreaking research in the lab to find better treatments for patients with rare cancers.
Sign-up to Stay Informed About Cancer Research Breakthroughs with NFCR!
References:
- https://www.cancer.net/navigating-cancer-care/videos/cancer-research-news/sarcoma-%E2%80%93-introduction-with-dr-robert-maki
- https://www.mskcc.org/blog/immunotherapy-offers-new-strategy-treating-sarcoma
- https://www.ncbi.nlm.nih.gov/books/NBK50974/
- http://www.rarecancerseurope.org/News/Rare-Disease-Day-2018
- https://rarediseases.info.nih.gov/diseases/pages/31/faqs-about-rare-diseases










