Rare Cancers | NFCR Blog
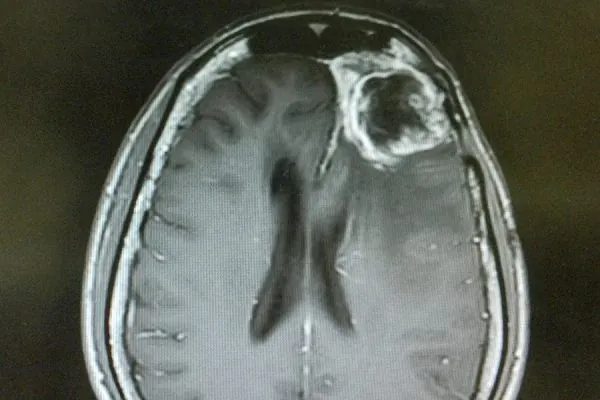
Rare cancers are those that affect fewer than 40,000 people per year in the U.S.* For multiple reasons, there is a gap in research support for rare cancers, which can limit research progress. Learn more about NFCR’s genomic approach which aims to benefit ALL types of cancers.









